
Miocardite Chagásica
Esta micrografia de tecido cardíaco mostra um intenso infiltrado de células inflamatórias (principalmente linfócitos) entre as fibras musculares do miocárdio e amastigotas de Trypanosoma cruzi caracterizando uma miocardite.

Inflamação Granulomatosa
A imagem exibe um granuloma, uma estrutura inflamatória crônica organizada. É composto por um acúmulo de macrófagos ativados (células epitelioides), muitas vezes fundidos em células gigantes multinucleadas, e é tipicamente cercado por um colar de linfócitos. A formação de granulomas é uma resposta imune clássica de hipersensibilidade do tipo IV (de tipo tardio), orquestrada por linfócitos T auxiliares (Th1). Este mecanismo é uma tentativa do sistema imune de conter e isolar agentes patogênicos de difícil eliminação, como o bacilo da tuberculose (Mycobacterium tuberculosis), ou outros corpos estranhos.

Miastenia Gravis
A imagem ilustra a ptose palpebral (queda da pálpebra), um sinal clínico característico da Miastenia Gravis. Esta é uma doença autoimune da junção neuromuscular. O mecanismo imunológico é uma reação de hipersensibilidade do tipo II. O corpo produz autoanticorpos que se ligam e bloqueiam ou destroem os receptores de acetilcolina na placa motora do músculo. Isso impede a transmissão eficaz do impulso nervoso para o músculo, resultando em fraqueza muscular flutuante que piora com o uso repetido.

Exoftalmia na Doença de Graves
Esta foto mostra a proptose ou exoftalmia (olhos saltados), um sinal clássico da Doença de Graves. Esta condição autoimune é a principal causa de hipertireoidismo e é mediada por uma reação de hipersensibilidade do tipo II. Autoanticorpos (imunoglobulinas estimuladoras da tireoide – TSI) se ligam ao receptor de TSH na tireoide, estimulando-a continuamente. Esses mesmos anticorpos, junto com linfócitos T, atacam os tecidos atrás dos olhos (músculos e gordura orbitária), causando inflamação e inchaço, o que empurra os globos oculares para a frente.

Bócio (Aumento da Tireoide)
A imagem mostra um bócio difuso, que é o aumento da glândula tireoide. Este é um sinal comum em doenças autoimunes da tireoide, como a Tireoidite de Hashimoto (causa mais comum de hipotireoidismo) ou a Doença de Graves. Na Tireoidite de Hashimoto, a resposta imune é mista (tipos II e IV): linfócitos T autorreativos infiltram e destroem o tecido tireoidiano, e autoanticorpos (anti-TPO, anti-Tg) contribuem para a destruição celular

Pênfigo Vulgar
A imagem exibe um quadro cutâneo grave com extensas áreas de erosões e crostas, consequência do rompimento de bolhas. Esta é uma manifestação característica do Pênfigo Vulgar, uma doença autoimune bolhosa grave que afeta a pele e as mucosas. O Pênfigo Vulgar é um exemplo clássico de uma reação de hipersensibilidade do tipo II. O sistema imune produz autoanticorpos, especificamente da classe IgG, contra proteínas estruturais da própria pele. Os alvos desses anticorpos são as desmogleínas (principalmente a desmogleína 3 e/ou 1), que são componentes essenciais dos desmossomos — as estruturas que funcionam como “cola” para manter as células da epiderme (queratinócitos) unidas. A ligação dos anticorpos às desmogleínas interfere na sua função adesiva, causando a separação dos queratinócitos uns dos outros. Esse processo é chamado de acantólise. A perda de coesão celular leva à formação de bolhas flácidas dentro da epiderme. Como essas bolhas são superficiais e frágeis, elas se rompem facilmente, resultando nas dolorosas erosões e lesões abertas vistas na imagem.

Artrite Reumatoide
As mãos da imagem mostram deformidades articulares severas, típicas da artrite reumatoide (AR). A AR é uma doença autoimune crônica caracterizada por inflamação sinovial. O sistema imune ataca o revestimento das articulações (sinóvia), com a participação de linfócitos T ativados, linfócitos B que produzem autoanticorpos (como o fator reumatoide e anticorpos anti-CCP), macrófagos e fibroblastos sinoviais hiperplásicos. Essa resposta imune desregulada leva à produção de citocinas pró-inflamatórias (TNF-α, IL-1, IL-6) que causam destruição da cartilagem e erosão óssea, resultando nas deformidades observadas.

Lúpus Eritematoso Cutâneo Agudo (LES)
Esta imagem exibe o clássico “rash malar” ou “asa de borboleta” no rosto, característico do lúpus eritematoso sistêmico. O LES é uma doença autoimune onde o sistema imune produz autoanticorpos (especialmente contra componentes nucleares, como DNA e histonas). Esses autoanticorpos formam complexos imunes que se depositam na junção dermo-epidérmica da pele, ativando o complemento e induzindo uma resposta inflamatória mediada por células T e B, resultando na dermatite e eritema observados.

Doença do Enxerto contra o Hospedeiro (DECH)
A imagem ilustra uma manifestação cutânea grave da Doença do Enxerto contra o Hospedeiro (DECH), com um exantema (rash) maculopapular e violáceo generalizado. Esta é uma complicação séria e potencialmente fatal que pode ocorrer após um transplante de células-tronco hematopoiéticas (transplante de medula óssea) ou, mais raramente, de órgãos sólidos. Ao contrário da rejeição de transplante tradicional (onde o hospedeiro ataca o enxerto), na DECH, as células imunes do doador (o enxerto) atacam os tecidos do receptor (o hospedeiro). Linfócitos T imunocompetentes presentes no enxerto doado reconhecem as células e tecidos do hospedeiro como estranhos, devido a diferenças nos antígenos de histocompatibilidade (HLA). O mecanismo central é uma reação de hipersensibilidade do tipo IV (mediada por células). Os linfócitos T do doador se ativam, proliferam e montam um ataque direto contra as células do hospedeiro. Os principais alvos são a pele, o trato gastrointestinal e o fígado. Na pele, o ataque dos linfócitos T do doador contra os queratinócitos do hospedeiro desencadeia uma cascata inflamatória intensa, resultando no rash severo, que pode progredir para bolhas e descamação, como visto na imagem.

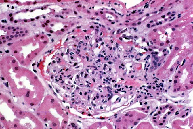
A biópsia renal mostra infiltrado inflamatório difuso no interstício renal e glomérulos com alterações variáveis, incluindo proliferação celular. Esta é uma manifestação comum e grave do Lúpus Eritematoso Sistêmico (LES) conhecida como nefrite lúpica. O mecanismo imune envolve a deposição de complexos imunes (contendo autoanticorpos e autoantígenos) nos glomérulos e túbulos renais, levando à ativação do sistema complemento e ao recrutamento de células inflamatórias (linfócitos, macrófagos) que causam dano tecidual e disfunção renal.

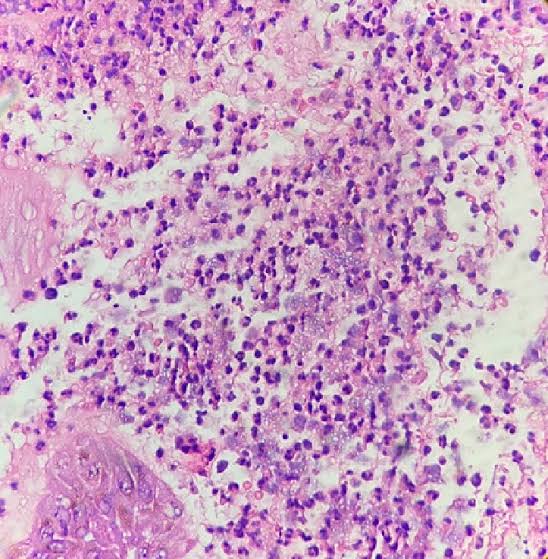
Abscesso com Infiltrado Inflamatório Agudo
A imagem mostra um infiltrado inflamatório denso composto por neutrófilos, característico de um abscesso ou uma inflamação aguda severa. Os neutrófilos são as primeiras células imunes a serem recrutadas para o local de uma infecção bacteriana ou lesão tecidual. Eles fagocitam patógenos e detritos celulares e liberam enzimas e mediadores inflamatórios. Essa resposta imune inata é crucial para combater infecções, mas a liberação excessiva de mediadores pode também contribuir para o dano tecidual.

Leucemia Mieloide Aguda (LMA)
Esta imagem microscópica de medula óssea ou sangue periférico mostra uma proliferação descontrolada de células mieloides imaturas (blastos), com núcleos grandes e citoplasma escasso. Embora seja um câncer e não uma doença primariamente autoimune, a LMA envolve uma falha no desenvolvimento e diferenciação das células imunes (mieloides) na medula óssea. O sistema imune, nesse contexto, pode estar comprometido devido à supressão da hematopoiese normal e à presença de células malignas que evadem a vigilância imunológica.


